Это заболевание, при котором происходит нарост ткани в зоне пяточной кости. К этой болезни склонны люди в пожилом возрасте, но появиться она может у любого человека. Любое повреждения в зоне пяточной кости будет способствовать развитию этой патологии.
- Причины
- Симптомы
- Диагностика
- Показания к применению ультразвука
- Эффект при использовании ультразвука
- Плюсы в применении ультразвука
- Лечение пяточном шпоры ультразвуком с гидрокортизоном
- Стоимость процедуры ультразвуком
- Физиотерапевтические процедуры
- Лечение лазером
- Ударно-волновая терапия
- Электрофорез
- Гимнастические процедуры при пяточной шпоре
- Профилактика
Причины
- Одна из наиболее распространённых считается избыточный вес.
- Ревматоидная болезнь;
- Болезнь сосудов нижних конечностей;
- Артриты;
- Изменения возрастного характера костной ткани;
- Травматизация нервных окончаний и стоп;
- Плоскостопие увеличивает нагрузку и при этом образуется пяточная шпора.

Симптомы
Первые симптомы — это сильная боль при ходьбе в области пятки. Ее выраженность зависит от размера нароста. Если он довольно больших размеров тогда человек испытывает острую боль, которая уменьшается только после прекращения давления на нее. И также боль зависит не только от размера, но и от ее локализации. При расположении ее близко к нервным окончаниям. Симптомы начального периода заболевания такие как боль могут плавать по нарастающей. Сначала может возникнуть резкая боль и также она и проходит.
- По началу боли появляются в утреннее время при давлении на пяточную кость и самостоятельно исчезают. При игнорировании начальный симптомов боли усиливаются и причиняют дискомфорт человеку как при физических нагрузках, так и в состоянии покоя.
- Следующий симптом считается — нарушение походки. Больной не может наступить на ногу в полном объеме и в связи с этим у него меняется походка. У некоторых людей наблюдается эта болезнь сразу на двух стопах и в связи с этим они полностью ограничены в передвижении.
- Предрасположенные к этому заболеванию и спортсмены. Из-за больших нагрузок, у них постоянно возникают мозоли и вследствие не лечения, образуется пяточная шпора.
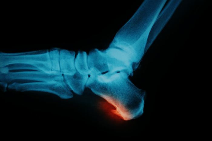
Диагностика
Поставить правильный диагноз на основании жалоб и внешнего осмотра практически не возможно. Так как можно спутать с другими заболеваниями.
Правильной диагностикой будет считаться направление на лабораторные исследования. Это общий и биохимический анализ крови и также мочи. Самым информативным исследованием считается МРТ, оно поможет с точностью определить степень поражения.И также если для пациента это исследование считается дорогим, врач назначает рентген пяточной кости. Только после этих исследований ставится правильный диагноз и назначается лечение.
Показания к применению ультразвука

Этот вид исследования считается эффективным и наиболее востребованный при лечении пяточной шпоры. Ультразвук убирает костный нарост и уменьшает воспалительный процесс. В связи с этим болевые ощущения уходят и больной чувствует облегчение уже после первой процедуры.
Самостоятельно не рекомендуется применять этот метод во избежание побочных действий.
Эффект при использовании ультразвука
- Улучшается кровообращения в тканях.
- Уходят болевые ощущения.
- Обменные процессы ускоряются в тканях пяточной кости.
- Предотвращает спазмы.
Эта процедура считается безопасной для пациента. Не возникает деформация в костной ткани. Эффект наблюдается положительный и при назначении нестероидных препаратов процесс выздоровления проходит быстрей.
Назначить это исследование может только врач по показаниям. Это болевые ощущения в области пяточной кости.
Плюсы в применении ультразвука
- Побочные действия отсутствуют;
- Сама процедура безболезненна;
- Время процедуры (до 10 минут).
Лечение пяточном шпоры ультразвуком с гидрокортизоном
Лечащий врач также может назначить ультразвук с гидрокортизоном. Это средство помогает снять воспаление и купировать болевой синдром. Процедура абсолютно безболезненна и применение мази только улучшит ощущения. Количество процедур не должно превышать пяти раз.
Эффект с применением гидрокортизона:
- Усиливает процессы регенерации.
- Мгновенно снимает болевые ощущения.
- Уменьшает воспаления в тканях пятки.
Процедура довольно проста. Мазь наносится на болевую область и применяется аппарат ультразвук. При помощи круговых движений происходит втирание в глубокие слои мази. Частота волны подбирается от 500- 1000 Гц.
Стоимость процедуры ультразвуком
В частных клиниках этот способ дорогостоящий и колеблется от 5 тысяч рублей за пять сеансов. В поликлинике по месту жительства можно пройти ее бесплатно. При обращении к специалисту он выпишет направлении после исследования.
Физиотерапевтические процедуры

Лечение лазером
Этот метод довольно эффективный и востребованный в наше время. Действие лазера на пяточную шпору оказывает обезболивающие действие и полностью предотвращает образование костных дефектов. Улучшает кровообращение в тканях, за счет этого процесс выздоровления происходит быстро.
Побочных действий при лечении этим способом не наблюдается. Но рекомендуется применять его только по назначению врача.
Ударно-волновая терапия
Она улучшает питание клеток в пяточной кости и предотвращает разрастание остеофитов. Также при помощи этого метода происходит удаление солей кальция в пятке. Результат наблюдается положительный. Больной уже после первой процедуры чувствует облегчение и боли уходят.
Курс лечения составляет 5 процедур, но между сеансами необходимо делать перерыв в 5 дней. Продолжительность процедуры в течение 15 минут.
Противопоказания к УВТ
- Онкологические заболевания;
- Беременность;
- Сахарный диабет;
- Инфекционные заболевания.
Электрофорез
Это процедура основана на воздействии тока на ткани. Применяется он с лекарственным средством. При этом исследовании используются специальные прокладки пропитанные лекарственным средством.
При помощи электрофореза уходят болевые ощущения в пяточной области, а также снимается воспалительный процесс.
Может наблюдаться индивидуальная не переносимость этой процедуры. Поэтому электрофорез назначается только врачом.
Гимнастические процедуры при пяточной шпоре

При правильных нагрузках на стопу укрепляются все группы мышц. Связки становятся эластичными и упругими. При регулярных тренировках не будут возникать болевые ощущения и микро разрывы. Но не только гимнастика будет способствовать улучшению лечения при пяточной шпоре, но и обувь которую мы носим. Правильный подбор может осуществить грамотный ортопед.
Лечебная гимнастика должна начинаться с разминки. После растяжения всех групп мышц можно проводить гимнастические упражнения.
Упражнения
Они довольно просты и осуществляются в домашних условиях.
- Необходимо взять мяч небольшого размера и положить его под стопу и катать в течение десяти минут. Упражнении нужно совершать 2-3 раза в день.
Благодаря ему улучшается кровообращение в пяточной кости и это отличная профилактика по предупреждению пяточной шпоры. - Следующее упражнение заключается в собирании мелких предметов.
Для этого необходимо сесть на стул и рядом положить мелкие предметы, это могут быть спички, ложки. И с помощью пальцев ног собирать их в таз. Этот вид упражнения покажется новичку сложным, перед ним рекомендуется провести разминку.
Побочные действие физиопроцедур при лечении пяточной кости — минимальны. Воздействие тока может вызвать индивидуальную непереносимость. А в остальном эти процедуры переносятся без побочных действий и безболезненно. Но только по назначению врача, ведь самолечение может привести к непредсказуемым последствиям.
В общем пяточная шпора это довольно серьезное заболевание, которое требует динамического наблюдения врача. При правильном лечение наблюдается положительный эффект.
Профилактика
Она заключается в гимнастике и правильном питании. Ведь людям с повышенным весом сложно передвигаться и сама масса тела не благоприятно сказывается не только на кости ног, но и на всю работу органов. Физиопроцедуры помогут при пяточной шпоре и улучшат кровообращение в тканях. А в особенности ультразвук является наиболее эффективным методом лечения и не вызывает побочных эффектов.
Комплексное лечение поможет справиться с этой болезнью и улучшить самочувствие больного.
Не стоит игнорировать первые проявления этого заболевания и во время обращаться за помощью к специалисту. На начальном этапе лечение считается эффективным и полностью излечимым.
ВАЖНО!!! Рекомендуется проходить медицинские осмотры не реже один раз в год.